MGC21874 Antibody (monoclonal) (M08)
| Product name: | MGC21874 Antibody (monoclonal) (M08) |
| Source: | Mouse |
| Purity: | >95% |
| Buffer Formulation: | Clear, colorless solution in phosphate buffered saline, pH 7.2 . |
| Applications: | WB |
| Storage: | For short-term storage, store at 4° C. For long-term storage, aliquot and store at -20ºC or below. Avoid multiple freeze-thaw cycles. |
| UOM: | 100ug |
MGC21874 Antibody (monoclonal) (M08)
Catalog Number:IC213686
Product Profile
| Product Name | MGC21874 Antibody (monoclonal) (M08) |
|---|---|
| Antibody Type | Primary Antibodies |
Key Feature
| Clonality | Monoclonal |
|---|---|
| Isotype | IgG2a |
| Clone Number | 1C8 |
| Host Species | Mouse |
| Tested Applications | |
|
WB~~1:500~1000:
|
|
| Species Reactivity | |
| Concentration | 1mg/ml |
| Purification |
Target Information
| AlternativeNames |
ADA2(beta)
More
ADA2Btranscriptional adaptor 2 (ADA2 homolog yeast)-beta |
|---|---|
| Tissue Specificity | MGC21874 (XP_291105, 2 a.a. ~ 111 a.a) partial recombinant protein with GST tag. MW of the GST tag alone is 26 KDa. |
Database Links
Application
-
Application
MGC21874 monoclonal antibody (M08), clone 1C8 Western Blot analysis of MGC21874 expression in HeLa ( Cat # L013V1 ).
-
Application
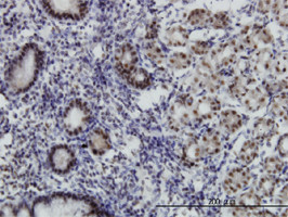
Immunoperoxidase of monoclonal antibody to MGC21874 ( Cat # AT2862a ) on formalin-fixed paraffin-embedded human stomach. [antibody concentration 1.5 ug/ml]
| Application Notes |
WB~~1:500~1000:
|
|---|
Additional Information
| Form | Liquid |
|---|---|
| StorageInstructions | For short-term storage, store at 4° C. For long-term storage, aliquot and store at -20ºC or below. Avoid multiple freeze-thaw cycles. |
| Storage Buffer | Clear, colorless solution in phosphate buffered saline, pH 7.2 . |
Note: The product is for research use only,not for use in diagnostic or therapeutic procedures.












