MAPK15 Antibody (Ascites)
| Product name: | MAPK15 Antibody (Ascites) |
| Source: | Mouse |
| Purity: | >95% |
| Buffer Formulation: | Mouse monoclonal antibody supplied in crude ascites with 0.09% (W/V) sodium azide. |
| Applications: | WBIHC |
| Storage: | For short-term storage, store at 4° C. For long-term storage, aliquot and store at -20ºC or below. Avoid multiple freeze-thaw cycles. |
| UOM: | 100ug |
MAPK15 Antibody (Ascites)
Catalog Number:IC213239
Product Profile
| Product Name | MAPK15 Antibody (Ascites) |
|---|---|
| Antibody Type | Primary Antibodies |
Key Feature
| Clonality | Monoclonal |
|---|---|
| Isotype | IgG1 |
| Clone Number | 168CT10.6.6 |
| Host Species | Mouse |
| Tested Applications | |
|
WB~~1:1000~2000 IHC~~1:50~100:
|
|
| Species Reactivity | |
| Concentration | 1mg/ml |
| Purification |
Target Information
| Gene Synonyms |
ERK7
ERK8 |
|---|---|
| Alternative Names |
MAPK15
More
ERK7 ERK8 Mitogen-activated protein kinase 15 Extracellular signal-regulated kinase 7 Extracellular signal-regulated kinase 8 |
| Molecular Weight(MW) | 59832 Da |
| Function |
In vitro, phosphorylates MBP.
|
| Tissue Specificity | Widely expressed with a maximal expression in lung and kidney |
Database Links
| Entrez Gene | 225689 |
|---|---|
| Nucleotide Accession | NP_620590.2 |
Application
-
Application
MAPK15 Antibody (Cat. #AM1855a) western blot analysis in MCF-7 cell line lysates (15ug/lane).This demonstrates the MAPK15 antibody detected the MAPK15 protein (arrow).(1:1000)
-
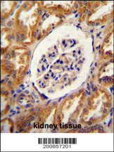
Application
MAPK15 Monoclonal( Ascites) (Cat. #AM1855a) immunohistochemistry analysis in formalin fixed and paraffin embedded human kidney tissue followed by peroxidase conjugation of the secondary antibody and DAB staining. This data demonstrates the use of the MAPK15 Monoclonal( Ascites) for immunohistochemistry. Clinical relevance has not been evaluated.
| Application Notes |
WB~~1:1000~2000 IHC~~1:50~100:
|
|---|
Additional Information
| Form | Liquid |
|---|---|
| StorageInstructions | For short-term storage, store at 4° C. For long-term storage, aliquot and store at -20ºC or below. Avoid multiple freeze-thaw cycles. |
| Storage Buffer | Mouse monoclonal antibody supplied in crude ascites with 0.09% (W/V) sodium azide. |
Note: The product is for research use only,not for use in diagnostic or therapeutic procedures.












