NPM (Phospho-Thr199) antibody
| Product name: | NPM (Phospho-Thr199) antibody |
| Source: | Rabbit |
| Purity: | >95% |
| Buffer Formulation: | Rabbit IgG in phosphate buffered saline (without Mg2+ and Ca2+), pH 7.4, 150mM NaCl, 0.02% sodium azide and 50% glycerol. |
| Applications: | WBIHCIFELISA |
| Storage: | store at -20°C. Avoid repeated freeze / thaw cycles |
| UOM: | 100ug |
Rabbit anti-NPM (Phospho-Thr199) polyclonal antibody
Catalog Number:IC125450
Product Profile
| ProductName | Rabbit anti-NPM (Phospho-Thr199) polyclonal antibody |
|---|---|
| AntibodyType | Primary Antibodies |
| Immunogen |
The antiserum was produced against synthesized peptide derived from human NPM around the phosphorylation site of Thr199. |
Key Feature
| Clonality | Polyclonal |
|---|---|
| Host Species | Rabbit |
| Tested Applications | |
|
WB:1:500~1:1000
More
IHC:1:50~1:100 IF:1:100~1:500 ELISA:1:60000 |
|
| Species Reactivity | |
| Concentration | 1 mg/ml |
| Purification | Affinity purified |
Target Information
| Gene Symbol | NPM1 |
|---|---|
| Gene Synonyms |
B23.1
More
NPM isoform 1 NPM1 Nucleolar phosphoprotein B23 Nucleolar protein NO38 nucleophosmin nucleophosmin (nucleolar phosphoprotein B23 numatrin) Numatrin |
Database Links
| Entrez Gene | 4869 |
|---|---|
| Unigene |
557550 654469 654583 |
| OMIM | 164040 |
| SwissProt ID | P06748 |
Application
-
Immunofluorescence
Immunofluorescence analysis of HeLa cells treated with EGF 200nM 5', using NPM (Phospho-Thr199) Antibody. The picture on the right is treated with the synthesized peptide.
-
Western blot
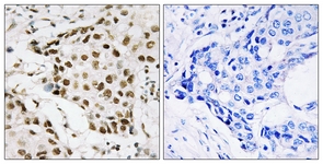
Immunohistochemistry analysis of paraffin-embedded human breast carcinoma, using NPM (Phospho-Thr199) Antibody. The picture on the right is treated with the synthesized peptide.Western blot analysis of extracts from HepG2 cells, using NPM (Phospho-Thr199) Antibody. The lane on the right is treated with the synthesized peptide
| Application Notes |
WB:1:500~1:1000
More
IHC:1:50~1:100 IF:1:100~1:500 ELISA:1:60000 |
|---|
Additional Information
| Form | Liquid |
|---|---|
| StorageInstructions | store at -20°C. Avoid repeated freeze / thaw cycles |
| Storage Buffer | Rabbit IgG in phosphate buffered saline (without Mg2+ and Ca2+), pH 7.4, 150mM NaCl, 0.02% sodium azide and 50% glycerol. |
Note: The product is for research use only,not for use in diagnostic or therapeutic procedures.












